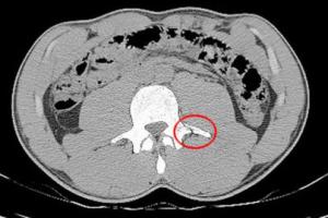
Neymar có một vết gãy xương rất lớn ở phần lưngTờ Sport của Tây Ban Nha đã công bố ảnh scan chấn thương của Neymar dính phải tại World Cup 2014 vừa qua. Ở đây ta nhìn thấy rõ ràng có một vết gãy ở xương rất lớn ở phần lưng dưới tiền đạo Barca. 24/07/2014
Đội bóng Trẻ em có hoàn cảnh đặc biệt được sang Phillippines thi đấu 24/07/2014 Tiếp nối thành công của Giải bóng đá Trẻ em có hoàn cảnh đặc biệt - Cúp Tôn Hoa Sen 2014, được sự hỗ trợ từ Liên đoàn bóng đá Việt Nam, Liên đoàn bóng đá Philippines, Tổng lãnh sự quán Philippines, Tổng lãnh sự quán Việt Nam tại Philippines, sáng nay 24-7-2014 Báo Công an TPHCM phối hợp với nhà tài trợ Tôn Hoa Sen và Công ty Nexus tổ chức đưa các em đến Philippines du đấu.
Đội bóng Đồng Nai phải xin lỗi các CĐV 24/07/2014 UBND tỉnh Đồng Nai đã yêu cầu Sở VH-TT&DL cùng Công ty CP bóng đá Đồng Nai phải sớm công khai xin lỗi người hâm mộ và nhân dân tỉnh Đồng Nai sau sự cố cầu thủ đội Đồng Nai dàn xếp tỉ số trận gặp Than Quảng Ninh.
Tân binh Arsenal sắm biệt thự triệu đô tại London 24/07/2014 Arsenal Vừa mới cập bến "Pháo thủ" chưa được bao lâu, Alexis Sanchez cùng cô bạn gái Laia Grassi đã sớm tìm cho mình nơi "ăn cư". Đó là một căn biệt thự đẹp như mơ tại ngoại ô London.
Neymar "giải trí" mùa hè bằng thú vui cờ bạc 24/07/2014 Trong khi nhiều ngôi sao chọn cách tận hưởng những ngày hè nghỉ ngơi bên vợ con, bạn gái thì Neymar lại quyết định tìm niềm vui nơi sòng bạc.
Ronaldo khoe trang sức "sáng lấp lánh" ở Nhật 23/07/2014 Siêu sao người Bồ Đào Nha đeo bông tai, nhẫn đính kim cương và đồng hồ đắt tiền tới tham dự buổi giới thiệu sản phẩm mới của một công ty chăm sóc sắc đẹp Nhật Bản.
Hậu vệ Barca bị người yêu nói lời chia tay 23/07/2014 Barcelona Hậu vệ đa tình của Barca đã bị người đẹp Thaisa Carvalho chủ động chia tay sau hai năm gắn bó.
Ngày vi vu, đêm về ... bóc lịch 23/07/2014 Nếu không có gì thay đổi bắt đầu từ tháng 9 tới cựu chủ tịch Bayern Munich sẽ chỉ phải bóc lịch vào ban đêm còn ngày ông có thể vi vu thoải mái mà không bị cấm cản.
Fan Mỹ quay lưng, xua đuổi Lampard 23/07/2014 Lộ trình tiền vệ Frank Lampard gia nhập New York City ở giải MLS đang gặp trắc trở. Chẳng phải trắc trở vì chuyện lương bổng hay tìm chốn an cư mới cho ngôi sao kỳ cựu người Anh, mà trắc trở vì Lampard bị fan Mỹ tẩy chay. Những CĐV “nhớ lâu thù dai” chưa quên scandal tai tiếng của Lampard cách đây 13 năm.
Hoãn ngày vui vì ... scandal bán độ 23/07/2014 Vướng vào scandal bán độ và làm độ ở V-League, hậu vệ Đồng Nai bị tạm giữ ba tháng và không còn tâm trí cho ngày vui đã định.
David Beckham ghé thăm thầy trò Van Gaal 23/07/2014 Một trong những số 7 vĩ đại của Man Utd đã có buổi gặp gỡ đội bóng cũ trên đất Mỹ.
Fan cuồng của Messi 23/07/2014 Lionel Messi không thiếu người hâm mộ, nhưng sẵn sàng chịu đau đớn để thể hiện tình yêu như một chàng trai người Argentina dưới đây quả là hiếm có.
Van Gaal: Một nhà giáo, một HLV bóng đá, một kẻ khắc kỷ 23/07/2014 Trích đoạn trong cuốn sách bán chạy của Maarten Meijer về Louis van Gaal tiết lộ nhiều điều thú vị về cá tính của tân HLV người Hà Lan ở Man United.
Ý thức cầu thủ Việt Nam quá kém 23/07/2014 LĐBĐVN (VFF) cần quyết liệt xử lý đối với các trường hợp tiêu cực, thậm chí chấp nhận làm lại từ đầu để xây dựng nền tảng vững chắc cho bóng đá Việt Nam phát triển. Đấy là ý kiến chung của lãnh đạo, HLV trưởng nhiều CLB.
Giá trị "tam tấu Real" bằng .... 114 năm mua sắm của Ajax 23/07/2014 Manchester United Đó là sự so sánh vô cùng thú vị. Chỉ tính riêng tân binh James Rodriguez cùng hai cái tên đắt giá trước đó Ronaldo và Bale, tổng số tiền mà Real Madrid bỏ ra đã ăn đứt tổng chi phí mua sắm trong suốt lịch sử hơn 100 năm tồn tại của đội bóng giàu truyền thống Hà Lan.
Vợ sắp sinh, mẹ khóc hết nước mắt khi nghe tin con cá độ 23/07/2014 Hà Niệm Tiến trước khi dính líu vào vụ án cá độ cùng các cầu thủ khác ở CLB Đồng Nai vốn là người hiền lành, thậm chí World Cup vừa qua anh còn khuyên răn nhiều đồng đội bỏ cá độ.
Cựu sao Arsenal bị CĐV "tẩn" nhừ tử vì chơi quá dở 22/07/2014 Arsenal Andre Santos, hậu vệ trái người Brazil từng có vài năm nhạt nhòa tại "Pháo thủ" thành London, đã bị một nhóm fan cuồng của Flamengo, đội bóng hiện tại của Santos, đánh đến nỗi phải nhập viện vì thi đấu quá tệ.